Questions for Eating disorders: The brain’s foul trickery
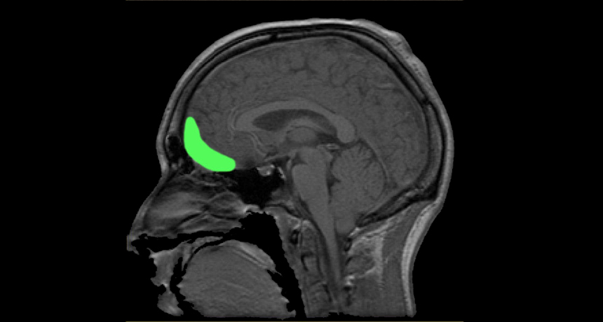
PaulWicks/Wikimedia Commons
Share this:
- Share via email (Opens in new window) Email
- Click to share on Facebook (Opens in new window) Facebook
- Click to share on X (Opens in new window) X
- Click to share on Pinterest (Opens in new window) Pinterest
- Click to share on Reddit (Opens in new window) Reddit
- Share to Google Classroom (Opens in new window) Google Classroom
- Click to print (Opens in new window) Print
SCIENCE
Before reading
1. Have you ever lost your appetite temporarily? What else was happening to your body at that time?
2. Young people, especially teens, often feel pressure to conform to sometimes unrealistic standards in appearance. Where does that pressure come from? How can you resist or counter it?
During reading
1. What sorts of behaviors would you expect in someone diagnosed with “anorexia nervosa with purging behavior?”
2. What manipulated Georgia Woodward for so long?
3. Explain some of the roles played by neurotransmitters.
4. How do anorexia and bulimia each reflect a response to anxiety?
5. Bulimics sometimes are under-stimulated by rewards. What are some of the possible effects of that?
6. What is the gyrus rectus?
7. Describe some of the serious health risks associated with anorexia.
8. In what way can bulimia be fatal?
9. What does cognitive behavior therapy entail?
After reading
1. Can you help people with anorexia by just reminding them to eat more? Provide support for your answer, using facts and other details gleaned from the story.
2. In what ways are anorexia and bulimia similar? How do they differ?
SOCIAL STUDIES
1. Find 10 examples of television, Internet or magazine advertisements that feature women. Find at least one that depicts a “real” woman — that is, someone who is heavier, curvier or older than the typical fashion model, or even someone without a totally perfect complexion and hair. Contrast the women in these ads. What were they selling? Did that seem to make a difference? How important was a woman’s figure to the product being sold? How can today’s typical ads increase or relieve the pressure felt by many women (and men) to be thin? Explain your answer.