Brain ‘ripples’ appear just before you remember something

New data show neurons in a key memory center fire in sync during the recall process

081619_LS_brain-ripple_feat-1028x579.jpg

One or two seconds before people recall an image they had previous seen, cells in a key memory center in the brain fire together, creating a “ripple” of activity.

Movus/iStock/Getty Images Plus

Seconds before a memory pops up, certain nerve cells jolt into action in sync. This new finding sheds light on how the brain stores and recalls information.

Studying brain cells in action inside the human head is tricky. Putting electrodes in someone’s brain requires surgery. It’s not something researchers do without a good reason. The new study involved people who already had electrodes put in their brains for some medical purpose. These participants all had epilepsy. That brain disorder causes storm-like surges of electrical activity in the brain, known as seizures. Doctors put the electrodes in the patients’ brains so they could pinpoint those surges.

In the new study, Yitzhak Norman of the Weizmann Institute of Science in Rehovot, Israel, and his colleagues tuned into signals from cells in the brain’s hippocampus. That’s a key memory center.

First, patients were shown images of people and places they already knew. For example, they might see a picture of former President Barack Obama. Or they might view an image of the Eiffel Tower in Paris, France. As each picture appeared, electrodes picked up bursts of activity. These so-called sharp-wave ripples happen when many nerve cells fire together.

Earlier studies suggested that these ripples in the hippocampus were important for forming memories. But it wasn’t clear if the ripples also had a role in recalling memories.

To test that, Norman’s group blindfolded the patients. Then they asked each to recall the pictures they’d seen. A second or two before the participants began describing each picture, researchers noticed an uptick in sharp-wave ripples. Those ripples echoed the ones seen earlier.

Norman’s team shared its new discovery August 16 in Science. The authors say their data suggest those ripples help people make and recall memories.

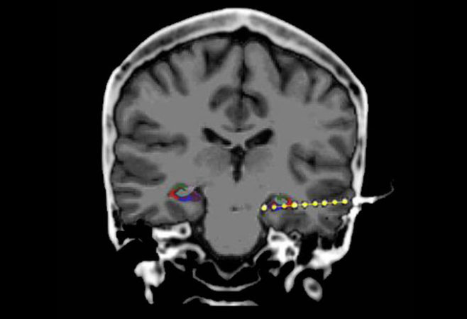
081619_LS_brain-ripple_inline_680-658x450.jpg
Using implanted electrodes (shown in yellow), researchers spied on brain activity as people formed and recalled memories. The team found that just before a person remembered a face or object they’d seen earlier, the hippocampus underwent “ripples” of activity (colored areas).
Weizmann Institute of Science

Laura Sanders is the neuroscience writer at Science News. She holds a Ph.D. in molecular biology from the University of Southern California.