Cool Jobs: Decoding how your brain ‘reads’
Researchers are looking for answers that will help people who struggle to read
Lots of people love a good book. But for some, written words can be a perplexing puzzle. People with dyslexia and some stroke victims struggle to read. Researchers are working to discover why.
monkeybusinessimages/iStockphoto
Share this:
- Share via email (Opens in new window) Email
- Click to share on Facebook (Opens in new window) Facebook
- Click to share on X (Opens in new window) X
- Click to share on Pinterest (Opens in new window) Pinterest
- Click to share on Reddit (Opens in new window) Reddit
- Share to Google Classroom (Opens in new window) Google Classroom
- Click to print (Opens in new window) Print
A kindergarten teacher stood in front of her classroom, holding an attendance sheet. It held the same names she’d read each day all year long. But today something was different. The letters on the sheet looked like strange symbols. She couldn’t make sense of them. She tried to read her lesson plans. No luck. The teacher began to panic. She called the principal and left work early.
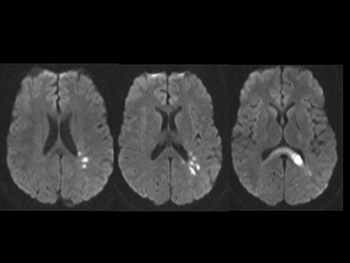
At the hospital a few days later, a doctor explained that she’d had a stroke. This is where a blood vessel in the brain either bursts or becomes blocked. Both problems starve brain cells. This can injure or even kill someone. Many stroke survivors lose their ability to speak or to move certain parts of the body.
In this teacher’s case, however, the stroke affected only a part of her brain that makes sense of written words. Although she could no longer read, the woman could still speak and write normally. Doctors refer to this strange and rare condition as pure alexia (Ah-LEX-ee-uh), or “word blindness.”

The woman’s doctor, José Biller, is a neurologist, or doctor who specializes in the brain. He works at Loyola University Medical Center in Maywood, Ill. Three years after her stroke, the teacher still sees him. “She is an extraordinary person,” he says.
As a doctor, Biller has seen how brain injuries can affect someone’s ability to read. And he’s helped these patients learn how to cope. But some people with perfectly healthy brains also have trouble reading. This condition is called dyslexia (Dis-LEX-ee-uh).
Some scientists and researchers have devoted their careers to figuring out how the brain responds to words. They’ve peered at the brain activity of people as they read. And they’ve tracked kids’ progress in reading over many years. Their work could help teachers and doctors better understand how to help struggling readers.
Word blindness
Biller sees patients who struggle every day with basic tasks. “I meet people in need and try my best to help them overcome problems,” he says. He has been drawn to help people from a young age. When he was just nine years old, he lost both of his parents. His mother passed away after a stroke. This may have led to his interest in the brain, he says.
When he first met the kindergarten teacher, he realized her case was special. Stroke victims regularly struggle with language. But most who lose the ability to read also have trouble understanding speech. Others can’t read or write. Word blindness, in contrast, affects only reading.
The injury in this teacher’s brain disconnected all visual information from the part of her brain that identifies words. This brain region still contains the name and sound of each letter. But the shapes she sees with her eyes never make it there.

The teacher has found clever ways to get around her reading problem. “I have always been really impressed about her resilience,” Biller says. For instance, the teacher can trace the letters of the alphabet one by one over the letter on the page. When she finds a shape that matches, she knows what the letter is. She can very slowly read a word this way, letter by letter.
Also, she recognizes some words without reading them. When she saw the word “dessert,” she responded, “I like that!” and when she saw “asparagus” she said, “something’s upsetting me about this word.” She couldn’t read the words, but emotions linked to those words still surfaced.
The teacher’s brain injury can’t be repaired. But she is lucky that she survived it. Strokes occur most commonly in older adults. But all of us should work to keep our brains healthy. “Try to remain active and intellectually challenged,” says Biller. Reading, he says, is a great way to exercise your brain.
An island of weakness in a sea of strengths
For some people, reading has never been easy. A person with dyslexia may be a skilled doctor, scientist or lawyer. But that person’s intellect can’t help him or her read. For someone suffering from dyslexia, reading is “an island of weakness surrounded by a sea of strengths,” says Sally Shaywitz. She and her husband, Bennett Shaywitz, founded the Yale Center for Dyslexia & Creativity in New Haven, Conn. They have spent decades studying dyslexia and working to help people affected by it.

One of those people is actor Orlando Bloom. Another is Max Brooks, author of the popular zombie novel World War Z. Sally Shaywitz has met both of them. Brooks “is happy to let people know he has dyslexia,” she says. “The disorder is nothing to be ashamed about.”
Dyslexia is surprisingly common. To study it, the Shaywitzes have been following a group of 445 children in Connecticut who had entered first grade in 1983. The researchers screened each child for dyslexia. One in five developed the disorder. It was equally common in girls and boys. The Shaywitzes are still studying how dyslexia has affected the lives of these people, who are now young adults.
Someone with dyslexia can see and hear words normally. But that person has trouble with the sounds that make up words. For example, the word “cat” is made of three sounds. A hard “kuh” sound, “ah” and “t.” When most people read, the brain automatically separates the written word “cat” into these sounds. Then the brain links the sounds together to produce the word. Finally, the word gets matched to its meaning.
For an experienced reader, this all happens automatically. But in someone with dyslexia, the brain struggles at dividing words into their sounds. Many dyslexics learn to read despite the problem. But for them, reading is always slow and difficult.
In the 2000s, the Shaywitzes conducted a series of studies. They compared brain activity in volunteers as they read. Some had dyslexia. The researchers scanned all of their brains using functional magnetic resonance imaging (fMRI). This tool measures blood flow during a task. Brain areas with the most blood flow tend to be the most active.
The researchers pinpointed several areas that turn on in normal readers. The most important two areas are in the back of the brain on the left side. The first is in the parieto-temporal (Puh-RY-eh-toh TEM-poh-rul) region. This area does the job of breaking a word into its sounds. The second area is in the occipito-temporal (Ah-SIH-pih-toh TEM-poh-rul) region. This is where the brain stores the appearance, sounds and meanings of words. This region, sometimes called the word-form area, “is critical for skilled and fluent reading,” explains Bennett Shaywitz. It allows readers to quickly identify words without sounding them out.

Finally, readers also use an area in the front, right side of the brain. It’s called Broca’s (BRO-kahs) area. The French neurologist Paul Broca discovered that this region allows a person to speak. Most people with dyslexia rely almost entirely on this speech region to read, the Shaywitzes showed. The two key areas in the back of the brain don’t do their job. The Shaywitzes called this brain activity pattern the “signature” of dyslexia.
Many other research groups performed similar studies. And they got the same results. They have even tested readers of different languages. Such work has helped scientists and teachers better understand dyslexia. But fMRI isn’t a good tool for finding out if someone has the condition. The pattern of brain activity that indicates dyslexia is not clear enough in an image of a single brain. The data are too complicated, says Sally Shaywitz. To see the pattern, researchers must combine together the data from many brains.
Thankfully, “you don’t need brain imaging to diagnose dyslexia,” says Bennett Shaywitz. He and his wife developed a simple screening survey that teachers can use for students in kindergarten or first grade. The survey asks a series of questions. A teacher can answer them in about five minutes to identify who might have dyslexia. An expert can then test the child more thoroughly to make a diagnosis.
When people with dyslexia get the help they need, they succeed. “You can be dyslexic and very, very smart,” Sally Shaywitz says. The Shaywitzes will soon publish a study comparing Yale graduates with and without dyslexia. It will show that those with dyslexia are still slow readers. But they are just as successful and happy as fast readers. And some of them even felt they had an advantage. “I read slowly and don’t miss things,” one participant told Sally Shaywitz.
Brainwaves predict the future
Today, screening surveys and reading tests are the best way to discover if a child has dyslexia. But teachers typically test a child only after he or she is already struggling in school. By then, the child has likely fallen behind classmates. In the future, parents and teachers may be able to catch dyslexia and other reading disorders before they cause problems.
How? Sarah Laszlo says brain activity is the key. She is a neuroscientist at Binghamton University in New York. “I study the changes that happen in the brain while learning to read,” she says.
The Shaywitzes used fMRI data. Laszlo uses a different measurement: an EEG. That’s short for electroencephalogram (Ee-LEK-troh-en-SEF-uh-loh-gram). Brain cells signal each other — communicate — with electricity. An EEG reader records these signals, known as brainwaves. The output looks like a jagged line. Laszlo suspected that patterns hidden in these lines might reveal information on a child’s skill at reading. These patterns might point to readers who are struggling.
To test this idea, her team has been bringing the same kids into the lab once every year. So far, they have five years’ worth of data on a range of kids, from kindergarten through high school.
Part of Laszlo’s job is making sure their visits to her lab are fun. So she keeps lots of toys and candy on hand as prizes. “We go through light sabers and Legos really fast,” she says. When the children arrive, they provide their report cards as well as other general information about their reading ability. Then it’s time to measure their brainwaves.
The EEG readers that Laszlo’s group uses look like tight-fitting swim caps. Each cap contains many coin-sized metal discs. Those discs sit tightly against the scalp in specific places. It can take researchers an hour to get the cap and all the discs fitted correctly onto a child’s head. During that time, kids get to watch movies and eat candy.

Once fitted with this cap, the child sits at a computer. A yellow cartoon face named Erple smiles from the screen. Strings of letters appear above Erple’s head. Some are words, like “DOG.” Others seem like words but aren’t, like “PEM.” And some are nonsense, like “JKNC.” Sometimes, the child sees his or her name. When that happens, he or she pushes a button.
The child focuses on watching for his or her name. But that game is just a trick to keep the child watching the screen. Laszlo’s team is capturing a burst of brain activity each time the child sees a string of letters.
“As long as they can read the word, every person’s response has sort of the same shape,” says Laszlo. That shape includes three peaks. Each peak is a burst of brain activity.
The first burst is the brain converting the shapes into letters. The second is the brain breaking these letters into separate sounds, then linking them together again. The final peak comes as the brain identifies what a word means.
So far, Laszlo’s team has published its results on two years’ worth of data. This study included 39 kids, all in kindergarten through seventh grade. The team was able to match patterns in brain activity one year to a child’s reading ability the next year. “If I know what your brain activity is in kindergarten, I can know what your report card is going to be in reading in first grade,” Laszlo says.
Her work is exciting. Still, these data have come from a very small number of students. More work needs to be done before schools can use this type of brain scan. For example, the team needs to compare brain scans from groups of known dyslexic and non-dyslexic students, suggests Bennett Shaywitz (who was not involved in this study). “In 10 years, you might be able to use this [to diagnose dyslexia],” he says.
Laszlo agrees that her work is still in its early stages. But she remains undaunted. “I’m willing to try things that are a little bit crazy,” she says. In science, it sometimes takes a little bit of craziness to discover new things.