Owww! World’s hottest chili leads to days of severe headaches

The ultra-hot offender is known as the Carolina Reaper

040918_DG_hot-pepper_feat.jpg

Some Carolina Reapers (shown) have a spiciness rating of more than 2 million Scoville heat units. That would make them the hottest peppers in the world, according to Guinness World Records. The jalapeño, in contrast, tops out at only around 8,000 units.

LANCE CHEUNG/USDA

Hot peppers aren’t just a pain in the mouth — they can be a pain in the head, too. Immediately after eating the world’s hottest known type of pepper, one man developed headaches. These were really bad ones that lasted for days. When he finally went to the hospital, he learned his experience had been truly special.

His is the first known case of a chili pepper being able to narrow arteries in the brain. Researchers described the details April 9 in British Medical Journal Case Reports.

Narrowed brain arteries can lead to “thunderclap headaches.” These are super severe. They often result from problems linked with pregnancy or with the use of illegal drugs. Now downing chilis may need to be added to this list.

During a hot-pepper-eating contest, the man ate a chili known as the Carolina Reaper. Guinness World Records has dubbed it the world’s hottest. For perspective, it is more than 200 times as spicy as a jalapeño.

About one minute after chomping down on the pepper, the man developed a splitting headache. After enduring this pain, on and off, for two days, he finally went to the hospital.

Initial tests didn’t find anything strange. But when doctors scanned blood vessels in his brain, they found the man’s arteries had narrowed. Treatment included drinking a lot of water and taking pain medicine. Only then did the headaches stop. Five weeks later, the researchers looked at his brain once more. By this time, those brain arteries were back to normal size.

Capsaicin is the main spicy chemical in hot peppers. It likely caused the man’s headaches, Kulothungan Gunasekaran now concludes. An internal medicine expert, he works at Henry Ford Hospital in Detroit, Mich. He also is an author of the new paper.

Capsaicin is used in defensive pepper sprays. Two previous studies connected capsaicin with heart troubles. One of those included a nonfatal heart attack. Ironically, small doses of capsaicin can relieve pain.

Gathering more data on how this chemical affects the brain could be tricky. Such a case is “a very rare occurrence,” Gunasekaran explains. “And no one’s willing to volunteer to eat this Carolina Reaper to see.”

Well, almost no one.

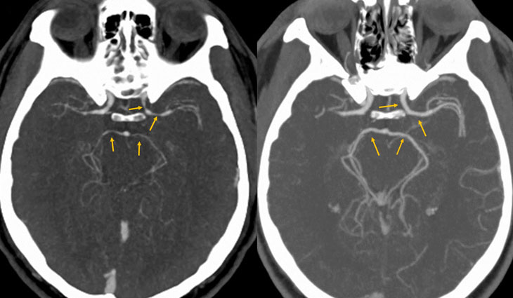
040918_DG_hot-pepper_inline_730.jpg
After eating a very spicy pepper, a diner’s brain arteries narrowed severely (arrows at left) and a pounding headache developed. Within five weeks, the arteries had returned to normal size (right).
S.K. Boddhula et al/BMJ Case Reports 2018