Inked mice hint at how tattoos live on

Immune cells may gobble up and hold tattoo as dyed skin cells die

860_main_tattootail.jpg

When researchers tattooed mouse tails, the only cells found with ink inside were immune cells. The tattoo appeared the same before (above) and after (below) these ink-holding cells had been killed. Why? New immune cells recaptured the ink.

A. BARANSKA ET AL/J. EXPT. MED. 2018

Tattoos are pretty much permanent. Their ink can live on in the skin for decades. But biologists have been curious about how tattoos manage that. As inked skin cells die, the trash-collecting cells — part of the body’s immune system — should remove the ink along with the dead skin cells. Now French researchers think they know why that isn’t happening.

The body’s trash collectors pick up the ink, then remain in place, holding the ink there. When these immune cells die, they release the ink, only for new immune cells to slurp it up. Throughout, the tattoo’s image remains the same.

There have been other ideas for why tattoos are permanent. Some researchers have proposed that the ink stays in connective cells. Others think it remains in immune cells that simply live a long time. Sandrine Henri, who works in France at the Immunology Center of Marseille-Luminy, was skeptical.

She wanted to probe the role of immune cells known as macrophages (MAK-roh-fayj-es). “Macrophages will scavenge everything. That’s their job,” Henri says. “If they could do their job properly, tattoo ink would be removed rapidly.” But the ink wasn’t. She decided to investigate why.

She and her colleagues tattooed the tails of mice with green ink. Then they watched to see how macrophages in the skin responded.

Like Roomba vacuums, macrophages suck up cellular debris in the body. And here, they gobbled up the ink. But they did not go on to digest and remove it. Instead, the immune cells held onto the ink until they were killed by researchers.

Some 90 days later, new macrophages had moved in and reabsorbed the ink. And throughout, there was no difference in the look of the tattoo.

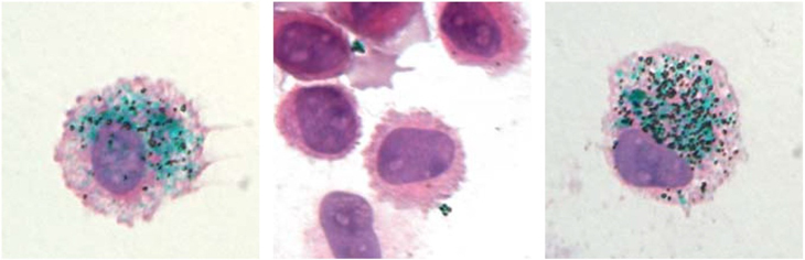
Story continues below image.

730_inline_inkcells.jpg
On the left, an immune cell contains green tattoo ink. The pigment is released when the immune cells are killed (middle). Within 90 days, new immune cells have recaptured the pigment.
A. BARANSKA ET AL/J. EXPT. MED. 2018

Henri’s team described its findings March 6 in the Journal of Experimental Medicine. Her team now proposes that macrophages likely explain how tattoos persist in people, too.

But they can’t be sure — yet, says Desmond Tobin. A mouse study simply won’t settle that, says this skin expert in England at the University of Bradford. Macrophages may live longer in people than in mice, he says. Long-lived macrophages, for instance, might preserve tattoos in humans. If true, they wouldn’t need to adopt some ink-release-and-recapture tactic.

Whatever the final answer, the new findings might still help improve tattoo removal, Henri’s team says. Tattoos are usually removed with lasers. Combining lasers with some treatment that also focuses on getting rid of nearby skin macrophages might make that removal more effective, the researchers say.

Use up and down arrow keys to explore.Use right arrow key to move into the list.Use left arrow key to move back to the parent list.Use tab key to enter the current list item.Use escape to exit the menu.Use the Shift key with the Tab key to tab back to the search input.