Scientists Say: MRI

This technology helps doctors see inside someone’s body

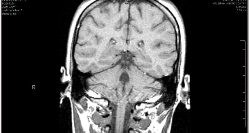
This is a magnetic resonance image of the inside of someone’s head. MRI can show the brain in beautiful detail.

This is a magnetic resonance image of the inside of someone’s head. MRI can show the brain in beautiful detail. 

Carolyn/ (CC BY-NC-SA 2.0)

MRI (Magnetic resonance imaging)  (noun, “Mag-NEH-tik rez-uh-nunce IM-udj-ing”)

This is a technique scientists use to create very detailed maps of the body.

Your body is full of water. Each molecule of it is made of one oxygen atom and two hydrogen atoms. Hydrogen has just one proton, and that proton has a positive charge.   MRI applies a strong magnetic field to the protons of those hydrogen atoms. This makes the hydrogen atom’s protons spin in a direction that aligns them with the magnetic field. Then, the imaging machine applies a radio wave in a perpendicular field — one 90 degrees off of the first field. This makes the hydrogen atoms tip to the side. When the second field is removed, the protons tip back into alignment with the first strong field. As they tip back, they also release energy. The MRI machine can measure this energy to determine the type of tissue the water molecules are in, from brain to liver to bone. MRI’s sensitivity allows scientists to create very specific maps of the human body.

There is also a type of MRI called functional MRI, or fMRI. Doctors often use it to study the brain. When a part of your brain is very active, more blood will flow there to fuel it. The blood coming in contains oxygen. More blood flowing into an area of the brain sends different signals than does tissue receiving a normal flow of blood. An MRI machine can detect that difference and map where it is. Scientists can compare the same brain area when a person is doing nothing, and again when the person is performing a task, to see how blood flow — and activity — in that brain area changes.

In a sentence

MRI can be used for many things, from studying the aging brain to figuring out how knuckles crack.

Follow Eureka! Lab on Twitter

Power Words

(for more about Power Words, click here)

brain scan  The use of an imaging technology, typically using X rays or a magnetic resonance imaging (or MRI) machine, to view structures inside the brain. With MRI technology — especially the type known as functional MRI (or fMRI) — the activity of different brain regions can be viewed during an event, such as viewing pictures, computing sums or listening to music.

fMRI (functional magnetic resonance imaging)  A special type of machine used to study brain activity. It uses a strong magnetic field to monitor blood flow in the brain. Tracking the movement of blood can tell researchers which brain regions are active. (See also, MRI or magnetic resonance imaging)

magnet  A material that usually contains iron and whose atoms are arranged so they attract certain metals.

magnetic field  An area of influence created by certain materials, called magnets, or by the movement of electric charges.

magnetic resonance imaging (MRI)  An imaging technique to visualize soft, internal organs, like the brain, muscles, heart and cancerous tumors. MRI uses strong magnetic fields to record the activity of individual atoms.

molecule  An electrically neutral group of atoms that represents the smallest possible amount of a chemical compound. Molecules can be made of single types of atoms or of different types. For example, the oxygen in the air is made of two oxygen atoms (O2), but water is made of two hydrogen atoms and one oxygen atom (H2O).

radio waves  Waves in a part of the electromagnetic spectrum; they are a type that people now use for long-distance communication. Longer than the waves of visible light, radio waves are used to transmit radio and television signals; it is also used in radar.

Bethany Brookshire was a longtime staff writer at Science News Explores and is the author of the book Pests: How Humans Create Animal Villains. She has a Ph.D. in physiology and pharmacology and likes to write about neuroscience, biology, climate and more. She thinks Porgs are an invasive species.