Could toothpaste give heart disease the brush-off?
Use of a special toothpaste seems to help reduce unhealthy inflammation throughout the body
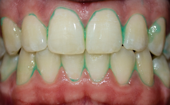
A girl practices brushing with a new toothpaste that helps remove plaque. An added benefit: It may also cut the risk of heart disease.
Humble Smile Foundation
Share this:
- Share via email (Opens in new window) Email
- Click to share on Facebook (Opens in new window) Facebook
- Click to share on X (Opens in new window) X
- Click to share on Pinterest (Opens in new window) Pinterest
- Click to share on Reddit (Opens in new window) Reddit
- Share to Google Classroom (Opens in new window) Google Classroom
- Click to print (Opens in new window) Print
Bad teeth cause pain and discomfort. But problems with the teeth and gums can have impacts far beyond the mouth. Some studies suggest they can boost a person’s risk of heart disease. Good dental health might help prevent this condition. And a new study tackled the issue with a special toothpaste — one that dyes plaque green.
Plaque is that slimy white stuff that over time builds up on teeth. It’s made from leftover materials from food. And it plays a major role in tooth and gum disease.
Dentists have long suspected that such oral disease might have some role in heart problems, notes Patrick McBride. He’s a cardiologist at the University of Wisconsin School of Medicine and Public Health in Madison. (A cardiologist is a doctor who specializes in treating the heart.) So McBride’s team decided to probe the role of plaque in heart health.
For a new study, McBride’s team recruited 61 men and women between the ages of 19 and 44 for a study on tooth brushing. Half were given normal toothpaste. The other half got the special green-dye toothpaste. (The company that makes the product was not involved in the study.)
All participants were told to follow the same brushing instructions for 60 days. Before and afterward, the researchers measured how much plaque was in each volunteer’s mouth.

Regular brushing gets rid of most plaque. Not surprisingly, then, both groups had less plaque on their teeth at the end of the study. But the group using the special toothpaste removed about twice as much plaque as the other group.
The green dye had made it easy for people to see where they needed to do extra brushing. This special toothpaste also softened the plaque. That made it easier to remove. Plus, the green dye could make brushing more interesting. The company that sells the toothpaste has introduced it to groups of children, says McBride. “Kids have fun seeing their teeth turn color and brushing it away,” he explains.
During the study, McBride began using the toothpaste himself just to try it out. He’s looking forward to his next trip to the dentist. He hopes his mouth will be healthier than usual. He quips, “I’m not excited to go to the dentist normally!”
Toothpaste reduced inflammation
It’s cool that the special toothpaste removes lots of plaque. That is, after all, what toothpaste is supposed to do. But a second thing the researchers found might, at first, seem to have little to do with teeth. They measured levels of inflammation in the volunteers’ bodies.
Inflammation is a natural response launched by the body’s immune system. After an injury — such as a scraped knee or sprained ankle — the affected area gets red, hot and swollen. As the term suggests, this inflammation is heating the tissue. That temperature spike can help kill bacteria that might cause an infection.
Inflammation also can occur deep within the body. If someone eats unhealthy foods or doesn’t exercise, fat deposits may build up inside the body’s arteries. (Coincidentally, those deposits are also called plaque — but they’re a different kind of plaque than what builds up on teeth.) These arteries are blood vessels that carry blood away from the heart. To the body, those fat deposits are unwanted intruders. So the immune system responds with inflammation. And it doesn’t focus its inflammatory assault just on the arteries. It mounts this heated immune response throughout the entire body.
And that’s not healthy. The combination of fatty arteries and the inflammation they foster can greatly boost a person’s risk of a heart attack or stroke.
Doctors use a blood test to assess that whole-body inflammation. The test measures the amount of a substance called C-reactive protein (CRP). As inflammation increases in the body, more and more of this protein travels through the bloodstream. As inflammation decreases, so do levels of CRP.
In the initial study, some volunteers had very low levels of CRP before the toothbrushing phase began. It would be impossible for their levels to fall further. A few others had very high levels. This suggested a possible injury or unhealthy condition. So the researchers excluded these two groups of people from a second part of their study.
That left 38 people. Among those people who used the special toothpaste, levels of C-reactive protein in their blood fell by 29 percent. Meanwhile, CRP levels actually climbed in the people who had brushed with the regular toothpaste.
That such a large drop in CRP could occur over just two months “was a surprise to me,” says McBride. He’s very enthusiastic about the results. His group described its findings online October 19 in the American Journal of Medicine.
The new data do not explain why brushing with the special toothpaste reduced inflammation. In fact, that remains unknown. But dentists do know that slimy, plaque-covered teeth lead to gums that are red and sore — or inflamed. Perhaps this oral inflammation boosts inflammation throughout the rest of the body. “[The mouth] is just one part of the body, not a separate place,” notes Susanna Paju. “In the body, everything can have an effect on anything.”
Paju is a dentist and researcher. She works at the University of Helsinki in Finland and was not involved in the new study. The new findings are encouraging, she says. Paju hopes they will encourage people to take better care of their teeth. If they do, she says, these people might experience fewer problems with their teeth. What’s more, she adds, they may also keep their whole bodies healthier in the long run.
Toothpaste for the heart
The new toothpaste reduced blood levels of CRP in this small study. A high level of CRP makes heart attacks and strokes more likely. Still, the researchers caution that it’s too early to say whether brushing with the toothpaste used in his study actually can help prevent a heart attack. McBride says his team will need to do more research.
Paju agrees: “I would not dare to say yet that a toothpaste can save your life.”
McBride’s group plans to recruit between 3,000 and 6,000 people for a big follow-up study. Again, half will use the new toothpaste. The rest will brush with a conventional toothpaste. This time, though, the researchers will track heart attacks and strokes in both groups for two to three years.
If the toothpaste actually works to lower the risk of heart disease, that would be an important finding. Heart attacks and strokes are the leading cause of death in the United States today. They will likely continue to plague future generations as well. Young people today are heavier and less active than previous generations. So they are at a high risk for developing heart disease. Toothpaste is something everyone should use and is relatively cheap. Any heart benefits would be an amazing bonus.
No matter what the larger follow-up study finds, the best way to keep the heart healthy will remain the same. Eat lots of fruits and vegetables, exercise and don’t smoke. Toothpaste, no matter how amazing, can never take the place of an active, healthy lifestyle.